Содержание статьи
Пироплазмоз, или бабезиоз собак – болезнь тяжёлая и, увы, распространённая. Возбудителем её выступают одноклеточные микробы, которые попадают в кровь животных после укуса иксодового клеща.
Чаще заражаются охотничьи собаки, хотя и домашних городских бабезиоз не минует. Более тяжело заболевание развивается у породистых животных, особенно у щенков. Опасность быть укушенным выше весной и осенью. В другие сезоны возможны хроническое обострение у уже заболевшего питомца, а также новое заболевание, вызванное врачебной ошибкой во время переливания крови.
В последнем случае пироплазмоз развивается стремительно: первые симптомы проявляются буквально на вторые сутки. При укусе клеща содержащиеся в его слюне паразиты проявляют себя через одну-три недели инкубационного периода.
Проникнув в эритроциты, «нанопаразиты» начинают бурно размножаться.
Если собаку не лечить или неверно поставить диагноз, летальный исход неизбежен. Вовремя начатое лечение у профессионального ветеринара делает шансы на выздоровление достаточно высокими.
Пироплазмоз протекает по-разному.
При сверхострой форме заболевания собака быстро погибает. Хозяин просто не успевает сообразить, что происходит, и вызвать врача.
Острый пироплазмоз характеризуют следующие симптомы:

Срочно в ветеринарную клинику! Иначе – паралич и смерть.
У животных с сильным иммунитетом или уже переболевших пироплазмозом возможна хроническая форма. Среди признаков наблюдаются некоторое повышение температуры, общая слабость, диарея, снижение аппетита с последующим истощением. Однако спустя несколько недель собака скорее всего выздоровеет.
Ни в коем случае не в домашних условиях! Диагностикой и лечением должен заниматься специалист ветклиники.
Скорее всего он назначит внутримышечный укол семипроцентного раствора азидина (беренила). Если не удалось сбить температуру, назавтра инъекцию необходимо повторить. Эффективен также трипанблау (трипансинь) внутривенно.
Перед уколами применяют камфорное масло, кофеин или другие препараты для облегчения работы сердца, а также тонизирующие, крововосстанавливающие, слабительные средства. Показаны также ограничения в движении на протяжении двух недель и специальная диета.
Но восстановительный период продлится ещё несколько месяцев, в течение которых необходимо контролировать состояние домашнего животного с помощью анализов.
Они будут показывать снижение и исчезновение возбудителей заболевания в собачьей крови.
Разумеется, лучше не доводить собаку до состояния, чреватого волнениями, тяжёлым ходом болезни и осложнениями даже в случае когда удалось избежать смерти. Искать с наступлением тепла в густой шерсти клеща практически безнадёжно. (Хотя полезно знать, что чаще всего насекомое прикрепляется к участку с тонкой кожей: ушной раковине, шее, груди). Лучше позаботиться об обработке вашего питомца и любимца противоклещевыми аэрозолями, каплями на холку или наденете на него специальный ошейник. Токсичный препарат убьёт клеща до того, как он вопьётся в кожу животного.
К сожалению, средство действует недолго после того, как нанесено на шерсть. Надёжнее вакцинация. Прививку нужно делать за два месяца до периода сезонной активности клещей. Впрочем, от заражения вакцина не убережёт. Но хотя бы смертельный исход болезни исключит.
На чтение 6 мин Просмотров 1.
8к. Обновлено
Начиная с весны и до поздней осени, наших четвероногих друзей в высокой траве подстерегает серьезная болезнь — пироплазмоз. Второе название болезни — бабезиоз. Ее переносчиком является клещ, которого собака легко может подцепить на прогулке в парке.
Заражению пироплазмозом более всего подвержены собаки. Заболеть может собака любой породы и возраста. Тяжелее всего переносят болезнь щенки и молодые собаки. Это заболевание не заразно. Оно не передается человеку и другим животным.
Пироплазмоз широко распространен во всем мире и доступной вакцины против этой болезни нет.
Лечить пироплазмоз у собаки можно и нужно!
Если вовремя не начать лечение, то после первых признаков заболевания высока вероятность гибели животного. В этой статье поговорим об опасном паразите подробнее.
Переносчиками пироплазмоза являются иксодовые клещи.
Собака подхватывает клеща на прогулке в лесопарковой зоне или в городе. Ведь, клещи обитают не только в траве, но и переносятся с ветром по воздуху. Также они ловко передвигаются и по одежде человека.
Во время укуса кровососущее насекомое выделяет в кровь собаки возбудителя заболевания — пироплазму или, другими словами, бабезии. Этот одноклеточный микроорганизм, чтобы выжить, должен постоянно присутствовать в теле другого живого существа.
Процесс заражения происходит следующим образом:

Инкубационный период — это то время, когда паразиты активно размножаются. Он длится от 3 дней до 4 недель. Его развитие и длительность зависит от многих факторов:
Различают острое и хроническое течение болезни. Симптомы острого пироплазмоза можно поделить на две категории.
Первичные признаки:
Эти симптомы могут появиться уже на третьи сутки после укуса клеща. Если хозяин не реагирует и не ведет питомца к врачу, то конечные признаки пироплазмоза не заставят себя ждать.
Конечные признаки:

Если вовремя не обратиться за помощью к ветеринару, то летальный исход возможен в промежутке 3-7 суток.
Опасность же хронического заболевания заключается в слабовыраженной симптоматике. На болезнь указывают постоянное депрессивное состояние собаки. Затем самочувствие пса ухудшается: запоры чередуются с диареей. Прогрессирует малокровие, собака быстро утомляется и плохо ест. В этом случае анализ крови покажет снижение в крови эритроцитов.
Хроническая форма болезни встречается редко и лишь у тех собак, которые уже однажды перенесли пироплазмоз или имеют сильный иммунитет. При таком раскладе болезнь длится от 3 до 8 недель. При должном лечении хвостатый питомец выздоравливает только спустя 3-6 месяцев.
Чтобы выявить опасное заболевание, специалисты проводят комплексную диагностику. Верный диагноз подтверждается на основе осмотра и лабораторных исследований:

В запущенных случаях цвет мочи практически черный. Это из-за сильного повреждения эритроцитов.
Возможно, анализы придется повторить через несколько дней. Ведь, в инкубационный период не всегда удается сразу выявить наличие паразитов в крови животного.
Случается, что хозяин, видя недомогание питомца, не обращается в клинику, считая это состояние временным. В итоге, собаку доставляют в стационар уже в тяжелом состоянии.
Примерная картина домашнего лечения при легкой форме заболевания выглядит следующим образом:

Во многом, дальнейшее лечение зависит от самочувствия собаки. Уже через неделю после начала приема препаратов необходимо сдать повторные анализы. На основе результатов корректируется последующая программа лечения. Контроль ветеринара необходим при средней или тяжелей форме заболевания.
Иммунитета после перенесенного заболевания хватает максимум на полгода. Потом животное может вновь заразиться пироплазмозом после укуса инфицированного клеща.
Коварство опасной болезни заключается в том, что никто не знает, как его перенесет несчастное животное. В большинстве случаев это зависит от сроков начала лечения и иммунитета собаки.
На фоне пироплазмоза у собак развиваются многочисленные осложнения работы внутренних органов:

У беременных собак болезнь протекает гораздо легче. Дело в том, что внутриутробный плод берет весь удар на себя. Известны случаи, когда у беременных собак, заболевших пироплазмозом, случались выкидыши. Даже родившись, кутята имели массу отклонений в развитии, а впоследствии все равно гибли.
Чем раньше начнется лечение, тем ниже риск распространения паразитов в крови собаки!
К сожалению, эффективной вакцины от пироплазмоза пока не существует. Есть вакцины, но из-за дороговизны и отсутствия массового применения, их эффективность полностью не изучена, например «Пиродог» или «Нобивак-Пиро».
Ваша защита потребуется питомцу в теплое время года. Пик нападения клещей приходится на весну и осень. Именно в это время иксодовый клещ особенно активен. Насекомые сидят в траве и кустах, поджидая жертву.
Помогут следующие меры профилактики:

При обнаружении кровососущего насекомого необходимо аккуратно удалить его пинцетом и сжечь. Не все клещи несут в себе опасную болезнь-пироплазмоз. Однако, если самочувствие собаки ухудшилось в течение месяца, то нужно срочно обратиться в ветеринарную клинику.
Безотлагательное обращение к врачу — спасет жизнь вашему питомцу!
Пироплазмоз у собак или бабезиоз — является опасным заболеванием передающимся от паразита (клеща) к животному. Вызывает пироплазмоз кровепаразит Piroplasma (Babesia) canis. Собакам передается через укус иксодовых клещей. Микроорганизмы находящиеся в слюне паразита впрыскиваются в кровь животного, где в дальнейшем и размножаются.
Симптоматика
Симптомы болезни часто смазаны и зависят от степени ее тяжести. Период от заражения до проявления первых признаков может составить, как 2-3, так и 10 дней.
Течение хвори может быть сверх острое, острое или хроническое.
Сверх острая форма бабезиоза развивается практически никак себя не проявляя, часто вызывает внезапную гибель четверолапого. В случае острого течения недуга в течение 2-3 дней присутствует повышенная температура тела до 41-42 oС.
В начале развития болезни у собаки ухудшается аппетит, она выбирает только вкусняшки и свежую пищу, а остальную еду оставляет. С прогрессированием пироплазмоза питомец может перестать есть, пес становится вялым и апатичным. Слизистая рта и глаз бледнеет, наблюдается ее желтоватый оттенок (из-за массового разрушения клеток крови и высвобождения из них билирубина).
Со 2-3 суток недуга моча становится темного оттенка. Может быть красноватого или коричневатого цвета (так как в нее попадает много билирубина из крови). Характерным признаком является слабость задних лап. Заболевшей собаке сложно ходить, может присутствовать диарея, тошнота и рвотные массы с кровянистыми вкраплениями.
Каловые выделения могут иметь яркий желтый или даже зеленоватый цвет. В последнюю очередь страдает дыхательная система и наблюдается нарушение сердечной деятельности с сильной одышкой, в некоторых случаях с необратимыми поражениями ЦНС. Их последствием является параплегия задних лап.
В хронической форме болезнь протекает от 3 до 5 недель с характерной для нее малокровием, слабостью мышц и истощением организма.
При подозрении на бабезиос учитываются такие данные:
— наличие клинических признаков: повышенная температура до 41-42 oС, меняется цвет урины, ухудшение аппетита или наблюдается полный отказ от пищи, пес вялый плохо ходит и много пьет воды.
— на кожном покрове можно обнаружить присосавшихся клещей (но не всегда).
— лабораторные данные анализов.
Анализ крови у собак на бабезиоз
Решающими при постановке диагноза являются результаты микроскопического исследования мазков, крови и присутствие бабезии в эритроцитах.
Однако, отсутствие микроорганизмов в мазке не может исключать наличие заболевания.
Результаты общего анализа крови зачастую показывают наличие анемии и снижение общего числа белых клеток крови. Иногда присутствует повышенное количество палочкоядерных лейкоцитов.
Анализ крови у собак на биохимию показывает повышенные показатели АЛТ, АСТ и билирубина. При более тяжелых случаях повышен уровень креатинина и мочевины, а в моче повышенное количество билирубина.
Для данного заболевания показана комплексная форма лечения проводимая только ветеринаром! В терапию входит уничтожение кровяного паразита, устранение токсинов и поддержание внутренних органов и систем.
Чтоб уничтожить пироплазму у больных животных мы используем современные, высококачественные препараты против паразитов от сертифицированных производителей. Такие лекарства минимально токсичны для больного и имеют самый малый риск проявления побочных эффектов.
В некоторых вариантах лечения, эти же лекарства могут применяться для профилактических целей.
При пироплазмозе осложнения могут возникать при течении хвори, и после нее. На это влияет несколько факторов. В начале болезни – может быть последствием неправильно установленного диагноза и запоздалое начатого курса лечения.
Стремительное размножение возбудителей, наносящих непоправимый вред организму. Пироплазмы паразитируют на клетках крови отвечающих за транспортировку кислорода и разрушают их. Из-за разрушения множества эритроцитов организм не успевает утилизировать чрезмерное количество выделенного гемоглобина, как следствие образуются ядовитые продукты распада последнего. Следует понимать, что процесс разрушения происходит настолько быстро, что может привести к критическому состоянию абсолютно здорового пса буквально за 72 часа.
Ветеринарная клиника «А-Вет» рекомендует:
Обнаружив впившегося клеща не старайтесь его вытаскивать своими силами, лучше обратитесь к ветеринару.
Если вы вытащили паразита, нельзя его брать незащищенными руками! Не давите потенциально инфицированного клеща! Положите в стеклянную или пластиковую емкость с плотной крышкой и отнесите на анализ или, в крайнем случае – можно его сжечь!
Что нужно сделать, если собаку укусил клещ, а до ветеринарной клиники ехать долго?
1. Удалить паразита – основная задача. В аптеках продаются спецприспособления для удаления клещей. Если таковых не оказалось, можно воспользоваться зажимом или пинцетом с тонкими краями.
2. Зафиксируйте клеща ближе к головке и не отпуская выполните 2-3 плавных оборота, строго в одном направлении. Тогда он выйдет полностью.
3. Удалив паукообразное, место укуса следует обработать любым препаратом на основе спирта.
4. Боитесь удалять клеща сами? Не затягивайте и везите хвостатого к ветеринарному врачу!
Как уберечь собаку от пироплазмоза?
На рынке ветеринарных препаратов широкий выбор разнообразных средств для профилактики укуса клещей.
Капли на холку от блох и клещей, различные спреи и ошейники, таблетки. Есть также вариант специальной вакцины. Все такие средства от клещей для собак содержат отгоняющие или убивающие клещей компоненты.
ВАЖНО! Средства для защиты следует использовать за несколько суток до запланированного похода на прогулку.
Покупая для собаки защитные средства против клещей в ветаптеках или зоомагазинах, не забывайте смотреть срок годности и целостность упаковки. Внимательно читайте инструкцию! Следует также отметить, что ни одно из существующих профилактических средств не дает 100% гарантии защиты вашего питомца от пироплазмоза.
А-Вет советует:
Не следует использовать несколько защитных средств одновременно. Смешивание 2 препаратов может нести риск проявления аллергии или спровоцировать отравление, что нанесет огромный вред здоровью вашего четверолапого любимца.
Если пойти к ветеринару не получается
Если по определенным причинам у вас не получилось посетить ветеринара после того как клещ укусил собаку, ежедневно измеряйте температуру ее тела на протяжении 2-3 недель.
Внимательно наблюдайте за цветом мочи. Заподозрив симптомы перечисленные выше, покажите животное ветеринару. Обязательно сдайте анализы на наличие клещевых инфекций.
Наша круглосуточная ветеринарная клиника предоставляет все услуги диагностики и лечения пироплазмоза у собак по умеренной стоимости. В любое время суток мы можем оказать как экстренную, так и плановую (по предварительной записи) помощь вашему питомцу.
Европейский взгляд и методы лечения пироплазмоза
В связи с тем, что пироплазмоз (бабезиоз) очень распространенное заболевание в России, я этим летом, я к сожалению столкнулась с крайне неправильным лечением собак, очень дорогих моему сердцу от пироплазмоза и не была в состоянии помочь на расстоянии.
Слава Богу собаки выздоровели, но в связи с тем, что я прекрасно знаю, что в России проблема пироплазмоза крайне острая, я решила досконально изучить этот вопрос, а также получить полнейшую консультацию по лечению пироплазмоза от известного во всем мире ветеринарного врача, господина Maarten Kaapen, владельца клиники в Голландии.
Итак, начнем с краткого экскурса в то, что есть пироплазмоз.
Пироплазмоз – это кровепаразитарная болезнь собак, протекающая с явлениями сильной лихорадки, пожелтением видимых слизистых оболочек, кровью в моче. Переносчики – иксодовые клещи. Больше всего клещей весной, в мае-апреле и августе-сентябре, до наступления холодов. Любят влагу, и дождливое лето активно содействует их распространению.Не каждая собака заразилась, если вы нашли на ней присосавшегося паразита. Проблемы вызывает не столько сам клещ – на месте его укуса развивается лишь небольшое воспаление – сколько живущие в нем пироплазмы. И поэтому, даже сняв с животного десяток клещей, не пораженных пироплазмами, можно не опасаться, что собака заболеет. Но, к сожалению, на клеще не написано, может он заразить или нет.Изначально, безусловно необходима превенция. То есть после каждой прогулки нужно просматривать собаку на предмет клещей.
Кроме того, необходимо обрабатывать собаку препаратами от клещей.
Но, стоит заметить, что к примеру активный ингредиент всем известного Frontline НЕ ПРЕДОХРАНЯЕТ собаку от иксодовых клещей.
Фронтлайн, как и многие другие анти-клещевые препараты содержат Fipronil (Фипронил) и он, как я сказала, не дает никакой защиты от иксодовых клещей.Единственный активный ингредиент, который дает защиту от иксодовых клещей, это Метопрен (Methoprene), к примеру он есть в препарате Frontline Combo, может быть и в каких то других, я к сожалению не знаю препаратов от клещей доступных на российском рынке.Поэтому, покупая тот или иной препарат от клещей, проверьте содержит ли он метопрен, иначе собака не получит никакой защиты от иксодовых клещей, которые могут заразить собаку пироплазмозом.
Если Вы все таки нашли на собаке присосавшегося клеща, или после прогулки в период с апреля до наступления хорошего минуса Вы видите следующие симптомы:
собака меняет свое поведение, и это довольно явно бросается в глаза, она становится вялой, теряет интерес к окружающей жизни, появляется слабость, животное с неохотой передвигается, отказывается от обычных прогулок, от пищи. Температура более 39,5.
Если Вы не обратили внимания на эти симптомы, то следующие симптомы будут:
Моча приобретает красновато – бурую окраску, которая может варьировать от свекольной до цвета темного пива. Слизистые оболочки бледные или желтоватые.Но, увидев отказ от пищи для собаки, которая обычно прекрасно ест, повышенную температуру и вялость – необходимо СРОЧНО принять меры. И вот теперь наступает очень большая разница в лечении.
Разница в том, что при европейском подходе – пироплазмоз не угрожающая жизни болезнь, при которой собака вылечивается в течении 24 часов и не имеет НИКАКИХ последствий по печени, почкам и всем другим внутренним органам.
При российском подходе – пироплазмоз угрожающая жизни болезнь, кроме того, собака на месяцы имеет поврежденную печень, почки и восстанавливается неделями, а то и месяцами, и в принципе имеет потом всю жизнь больную печень.При российском лечении, собаку везут к ветеринару, который сделает блиц анализ на наличие бабезий в крови, положит собаку на капельницу, которая ГУБИТЕЛЬНА для здоровья и совершенно не нужна, а также сделает укол того или иного анти-пироплазмозного препарата.
Собака будет лежать на капельнице 3 дня подряд, после этого, ей долго, упорно, муторно и очень долго будут лечить печень, почки и в принципе восстанавливать организм месяцами, в связи с тем, что данная капельница сгубила многие функции организма.В Европе подход другой:
Если есть подозрение на пироплазмоз, Вы увидели описанные мной начальные симптомы, то собаке делается 1 единственный укол, препарата содержащего как активный ингредиент «имидокарб».
В России это препарат пиростоп, а также фортикарб.
Используется дозировка по весу, указанная на упаковке.
После этого собака идет домой, а если Вы делаете уколы сами – то Вы просто делаете укол и никуда с собакой не идете, дабы «не залечили».
Через 2 недели, делается повторный укол, в такой же дозировке, того же препарата.
Препараты с активным ингредиентом имидокарб совершенно безвредны, при правильном применении, то есть согласно дозировке указанной на упаковке + при применении 2 укола. (1 укол при возникновении симптомов, второй через 2 недели.
)
Никаких капельниц, никаких восстановлений организма, лечения печени……
Хочу также добавить, что после укола, собака имеет полный иммунитет от иксодовых клещей на 30 дней.В случае, если Вы пропустили начало заболевания, то есть увидели что что-то не так только тогда, когда у собаки уже потемнела моча – тогда, кроме имидокарба, прописывается курс антибиотика доксициклина, на 14 дней, в дозировке согласно весу.Хочу отметить, что если Вы целый день отсутствовали дома, и придя домой, нашли собаку с фарфоровыми слизистыми, температурой, практически обездвиженной – то тогда Вам нужно срочнейшим образом обратиться к ветеринару и сделать УЗИ селезенки.В связи с тем, что я слежу за своими собаками 24 часа в сутки и вижу любые изменения в поведении, то безусловно предпочитаю европейскую систему лечения пироплазмоза.
Если Вы увидели признаки проблемы ДО того момента, как слизистые стали фарфорового цвета – то пироплазмоз лечится 2 простыми уколами, и собаку не нужно восстанавливать месяцами, как это принято делать в России.
И хочу добавить, что к сожалению, если случай запущенный и собака УЖЕ с фарфоровыми слизистыми, российская система лечения пироплазмоза тоже скорее всего будет неэффективной.Желаю всем собакам не подцеплять пироплазмозных клещей, но если уже подцепили, я очень надеюсь, что Вы хорошо подумаете, прежде чем положите их на капельницу губительную для здоровья, вместо всего 2 уколов.
Однажды в зоомагазин зашла милая женщина со своим питомцем – весьма активным русским спаниелем. Она разговорилась с продавцами и сообщила, что осталась очень недовольна ветеринарной клиникой, в которой не так давно побывала со своей собакой. «Тем утром я заметила, что с моей собакой что-то происходит. Бим не стал есть свою кашу с мясом, хотя обычно аппетит у него отменный. И я заметила, что он какой-то не такой, какой-то подавленный. Я тут же помчалась с ним в ветеринарную клинику. К сожалению, не у всех ветеринарных врачей есть время и желание разговаривать с владельцами животных. А зря, ведь тогда они бы с большей охотой верили им. Продавцам пришлось разуверять хозяйку Бима в некомпетентности лечивших его специалистов. Они рассказали ей о таком страшном заболевании как пироплазмоз и похвалили её. Ведь тогда, кинувшись ранним утром в ветеринарную клинику, она буквально спасла жизнь своему любимцу, хоть ей и сложно было в это поверить. Многие владельцы плохо разбираются в том, кто является настоящим возбудителем заболевания. Нередко приходится слышать смешную для ветеринаров фразу: «А моя собака переболела клещом». На самом деле крупные иксодовые клещи являются всего лишь переносчиками заболевания, а истинный «виновник» совсем другой. Никогда не находили на своей собаке после прогулки маленькие серые или коричневатые круглые «мешочки» (многим неопытным владельцам они напоминают бородавки, только почему-то вчера этих «бородавок» еще не было)? Вот это и есть иксодовые клещи. Это временные паразиты животных, питающиеся кровью. Клещи на самом деле небольшие, но, присасываясь к животному и насыщаясь его кровью, они сильно увеличиваются в размерах. Сами по себе клещи, если их немного, приносят небольшой вред животному. После того, как насытившийся паразит отпадает, на теле собаки остается припухлость. Зуд, как правило, очень слабый, бывает редко. Кем на самом деле вызывается? Возбудителями пироплазмоза являются пироплазмы. Это микроскопические паразиты, относящиеся к простейшим (помните амебу из курса школьной биологии или возбудителя малярии?). Паразитируют пироплазмы в красных кровяных тельцах (эритроцитах) крови. Пироплазмозами болеют многие виды животных, такие как коровы, лошади, козы, но эти паразиты являются видоспецифичными: у каждого вида животных заболевание вызывается своим видом. У собак это Piroplasma canis. Кроме пироплазм у животных также паразитируют и другие виды аналогичных возбудителей, например — бабезии. Некоторые учёные специалисты утверждают, что бабезиоз собак встречается даже чаще чем пироплазмоз. Обнаружить пироплазм достаточно легко. Делая мазок крови и прокрашивая его специальными красителями, врач может увидеть в эритроцитах крови крупные грушевидные образования. За счет красителя они имеют цвет, отличный от эритроцитов. Это пироплазмы. Впрочем, форма паразитов может значительно отличаться друг от друга, так как в пределах вида существует очень много разновидностей возбудителя. В начале заболевания, если паразитов еще мало, найти пироплазм бывает не так легко, но в самом разгаре болезни они могут поражать до 50% всех эритроцитов. Кто и когда болеет пироплазмозом? Заболеть может фактически любая собака независимо от породы и возраста. Но, у очень молодых животных и старых заболевание может протекать более тяжело. У пожилых собак чаще встречаются хронические формы заболевания. Пироплазмоз – заболевание теплого времени года, что связано с активностью клещей. Основной пик заболеваемости приходится на весну (ок.60-70%), летом, особенно если оно жаркое, частота случаев заболевания снижается: клещи не любят сухость. Осенью заболеваемость составляет 30-40%. В то же время стоит помнить, что иксодовые клещи относительно устойчивы к низким температурам. На Юге России нередко бывает теплая осень и зимы с частыми оттепелями, поэтому собака может «подхватить клеща» и поздней осенью, и даже в середине января. Из-за высокой изменчивости погоды у нас бывают парадоксальные случаи, когда на улице снег по колено, а у собаки пироплазмоз (недавно была оттепель!). Встречаются случаи пироплазмоза зимой и в том случае, если будку застилают заготовленным летом сеном с клещами. Конечно, далеко не каждый клещ, которого нашел владелец на своем любимце, вызовет заболевание. Но те хозяева, которые уже хотя бы раз столкнулись с пироплазмозом, обнаружив клеща на своем животном, в панике несутся в ветеринарную клинику. И они абсолютно правы! Почему, мы объясним позднее. Многие владельцы считают (а иной раз это написано и в ветеринарных справочниках), что клещей собака может подцепить только где-нибудь «на природе»: в лесу или парке. Отчасти они правы, в таких местах риск нападения клещей выше, они часто прячутся в густой растительности. Во время загородных прогулок животное нужно особенно тщательно обрабатывать от клещей. Какой вред наносит организму? Пироплазмы от зараженного клеща со слюной попадают в организм животного, размножаются и поселяются в эритроцитах. После внедрения в эритроцит последний бледнеет и разрушается. Размножаются паразиты очень быстро, в результате чего у животного развивается анемия, связанная с острым недостатком в крови эритроцитов и содержащегося в них кровяного пигмента гемоглобина. Как известно, эритроциты выполняют важную функцию в организме, а именно — переносят кислород ко всем тканям и органам организма. В результате значительного разрушения эритроцитов, ткани испытывают кислородное голодание. Страдает весь организм заболевшего животного. В результате разрушения эритроцитов в кровь выделяются токсичные для организма продукты. Одним из них является билирубин. Это вещество коричневато-желтого цвета постоянно образуется в результате обмена веществ и в здоровом организме, его излишки выводятся их организма с мочой и калом (он является одним из основных «красителей» отходов жизнедеятельности). Но при пироплазмозе билирубина становится так много, что организм просто не успевает справляться с его выведением. В результате он попадает в ткани и органы. В развернутой стадии заболевания слизистые оболочки, коньюктива животного может приобретать желтую окраску, моча становится темного цвета. Печень и почки испытывают большую нагрузку, возникает отравление организма животного. Но если бы это было все. Дело в том, что сами паразиты также выделяют токсины (яды). Токсины пироплазм действуют на клеточную стенку кровеносных сосудов и повышают ее проницаемость. Из-за этого возникают кровоизлияния в различных тканях организма, на слизистых оболочках, что ещё больше усиливает анемию и вызывает серьёзные изменения в составе крови. Из всего этого можно сделать вывод, что нет ни одного органа, который бы не пострадал при длительном течении пироплазмоза. Нарушения возникают в работе всех органов. Особенно страдают печень и почки. Зачастую на всю жизнь. Здесь для наглядности можно привести такой пример. Инфекционный гепатит является распространенным заболеванием у людей. Многие люди переносят гепатит достаточно легко – просто небольшая желтуха и несколько недель в больнице, а некоторые индивидуумы ухитряются перенести его на ногах и практически бессимптомно. Но заболевание не проходит бесследно. Печень! Вроде бы она и не болит, но работает уже не так хорошо. У многих людей возникает непереносимость определенных продуктов, например жирного, копченостей и алкоголя. У переболевших гепатитом высокий риск появления таких опасных заболеваний, как цирроз и рак печени. Подобное происходит и при пироплазмозе. Если заболевание вовремя заметить и вылечить, как это произошло у Бима, этот эпизод можно легко вычеркнуть из жизни собаки и её владельца. Впрочем, на практике печень хорошо откликается на медикаментозную поддержку, а вот почки во время пироплазмоза несут большую нагрузку, с которой они могут не справиться. Если до заболевания их состояние нельзя было назвать удовлетворительным, возможны серьёзные осложнения с этой стороны. У 90% погибших собак при патологоанатомическом обследовании выявляют отказ почек. «Желтуху ветеринарную врачи видят у собаки и активно занимаются восстановлением нормальной работы печени, — говорит главврач, — а вот на работу почек зачастую не обращают внимания, хотя у пожилых животных это может быть критично». Именно из-за поражения внутренних органов второй случай заболевания у одного и того же животного часто протекает тяжелее. Иммунитет при пироплазмозе не стерильный: это означает, что действует такой иммунитет только тогда, когда в организме животного находятся паразиты. Как только собака, которую активно лечат, избавляется от пироплазм, она может снова заболеть. Впрочем, если период между двумя зараженьями небольшой, повторное заболевание может иметь смазанный, не типичный характер (например, протекать без высокой температуры, желтушности и т.д.), поскольку в организме еще циркулируют выработанные антитела. Это очень опасно, так как хозяин может не заподозрить у собаки пироплазмоз и обратиться в ветеринарную клинику слишком поздно. Итак, надеемся, вы поняли, как важно не «пропустить пироплазмоз» у своего любимца. А какие же симптомы заболевания, на что нужно обратить внимание? Заболевание может протекать в различных формах. С момента попадания паразита внутрь организма до появления первых симптомов должен пройти определенный промежуток времени – инкубационный период, он длится от нескольких дней до пары недель, чаще 3-5 дней, в конце лета пик «пироплазмоза» в клинике приходится на конец недели, т.к. на выходных люди выезжали со своими питомцами на природу. За это время происходит размножение и внедрение в эритроциты паразитов. Для пироплазмоза очень характерно определенная последовательность стадий заболевания и внезапное проявление клинических признаков. Так еще сегодня утром ваш питомец хорошенько позавтракав, громко лаял и носился за мячиком по улице, а вечером вы вдруг заметили, что что-то с ним происходит: совершенно внезапно он стал вялым, грустным, мало обращает внимание на происходящее. Если в этот момент до хозяина дойдет померить ему температуру, она окажется высокой – около 40С. Кроме того, в этот момент могут наблюдаться нарушения со стороны желудочно-кишечного тракта: у собаки может быть рвота и/или понос, которые могут сохраняться у нее на протяжении всего заболевания. Если лечение провести на этой стадии заболевания, пироплазмоз лечится быстро и легко. Но, к сожалению, немногие владельцы приводят своё животное в клинику на этом этапе. К счастью для Бима, так поступила его хозяйка. Большинство хозяев замечают изменения в состоянии здоровья питомцев, но не придают этому большого значения. Обычно думают: «Взгрустнулось, притравился, а может на погоду реагирует? Не проходит? Ну, так и быть, завтра поведу в клинику. Коварность этого заболевания в его очень быстром течении. Если не проводить лечение, состояние животного ухудшается с каждым днем. Очень характерный симптом для пироплазмоза – «кровавая моча», появляется на 2-3 день от начала заболевания. У многих владельцев пироплазмоз ассоциируется именно с этим симптомом. Но, к сожалению, погибнуть животное может уже на 3-5 день. Поэтому, при обнаружении потемневшей мочи нужно срочно обращаться в ветеринарную клинику, отсчет идет на часы. Здесь нужно заметить, что не у всех животных проявляется этот симптом. Кроме того, именно красного цвета моча тоже бывает не всегда. Иногда она приобретает окраску темного пива, шоколадный цвет, бывает даже просто более темной, чем обычно. В дальнейшем, собака становится все более вялой, слизистые оболочки и коньюктива приобретают желтушную окраску, которая с каждым днем становится интенсивнее. Это стандартное, часто встречающееся течение заболевания. Но иногда течение может отличаться от обычного, большое значение имеют возраст и состояние животного до заражения, а возможно и генетическая предрасположенность. Так некоторые владельцы замечают, что у животного «кровавая моча» на прогулке, а самочувствие его лишь немногим хуже чем обычно. У других же собак с первых же дней пироплазмоз протекает очень тяжело. При отсутствии специфических симптомов – кровавой мочи, температуры и др., если владелец раньше не сталкивался с этим заболеванием или не снимал клеща с собаки, то хозяева животного затягивают с визитом в ветеринарную клинику, тем самым снимая шансы на выздоровление. Кроме острой формы пироплазмоза может встречаться хроническая форма заболевания. Давайте обобщим, на что нужно обратить внимание, чтобы не пропустить пироплазмоз и какие меры нужно при этом предпринимать. 1. Вы нашли на собаке клещей или следы их пребывания. Это еще не повод для паники, но нужно обратиться в клинику для наблюдения. Как ставят диагноз на пироплазмоз. При приезде владельца в клинику, кроме подробного описания симптомов, врачи обязательно возьмут анализ крови. Прежде всего, нужно обнаружить самих паразитов: для этого как мы писали, делают окрашенные мазки из крови и смотрят их под микроскопом. Но не меньшее значение имеет общий анализ крови. Для пироплазмоза характерно резкое уменьшение эритроцитов и гемоглобина в крови, иногда до 50%. Вы спросите, откуда врачи узнают, что количество эритроцитов уменьшилось внезапно? А дело в том, что пониженное содержание эритроцитов и гемоглобина характерно и для анемий, которые могут развиваться у животного при плохом питании или заболевании. Но в этих случаях количество эритроцитов изменяется постепенно, проблемы со здоровьем у животного врачи замечают раньше, чем картина крови успевает измениться настолько. Лечение пироплазмоза. Пока вы не убьете паразитов, дальнейшее лечение пироплазмоза бесполезно. Многие ученые пытались лечить пироплазмоз собак консервативными методами, не используя антипротозойные препараты, но, как правило, все заканчивалось неудачно. Дальнейшее лечение зависит от течения заболевания и состояния животного. Животным ставят капельницы с физраствором и глюкозой, применяют гепатопротекторы, препараты железа и витамины (они помогают восстановить необходимый уровень гемоглобина в крови) и др. Если лечение проходит успешно, число кровепаразитов уменьшается вплоть до полного исчезновения, картина крови улучшается, число эритроцитов уменьшается, но анемичность и желтушность слизистых оболочек остаются на долгое время. Профилактика заболевания. Известно, что профилактировать заболевание намного легче, чем лечить. Для того чтобы защитить собаку от пироплазмоза, нужно предотвратить нападение на неё клещей. Особенно серьёзной должна быть защита, если собака уже перенесла пироплазмоз. К сожалению, препаратов, по-настоящему способных защитить собаку от иксодовых клещей очень мало. Ученые специалисты долгое время бились над созданием эффективной вакцины против пироплазмоза. Это было крайне сложно, поскольку длительного иммунитета при этом заболевании не существует, а паразиты – не бактерии и не вирусы, для микроскопического мира простейшие – крупные существа, создать против них вакцину непросто. Не так давно такая вакцина появилась в продаже, но у нас в России она пока не достаточно изучена практикующими ветеринарными врачами. Но помните, какими бы не были дорогими и разрекламированными ваши противоклещевые средства, в опасное время года животное необходимо тщательно осматривать после прогулки, а при обнаружении клещей, частей их тел, укусов – не стесняться и везти ваше животное в ветеринарную клинику. Лучше прослыть паникером, чем долго и нудно лечить, или даже потерять своего любимца. Ведь согласитесь, Биму то повезло!
|
Что такое бабезиоз?
Бабезиоз — это заболевание, вызываемое крошечным паразитом под названием бабезия, который может инфицировать эритроциты собак.
Как моя собака может заразиться?
Передается клещом Dermacentor reticulatus; это не самый распространенный клещ в Великобритании, но он присутствует в некоторых районах.
В 2015-2016 годах в Эссексе было зарегистрировано несколько случаев бабезиоза у собак и выявлена популяция инфицированных клещей.
Каковы клинические признаки?
Паразит разрушает эритроциты, что приводит к некоторым симптомам. Признаки могут различаться по степени тяжести, но у большинства собак развивается острое заболевание, появляются очень бледные десны, темная моча и даже коллапс от тяжелой анемии.
Как мой ветеринар поставит диагноз?
У вашего ветеринара могут возникнуть подозрения из-за клинических признаков и истории путешествий вашей собаки (например, собаки, импортированные из региона, где распространено заболевание, например, из стран Южной или Восточной Европы). Однако, как упоминалось выше, заболевание было диагностировано у собак, которые никогда не выезжали за пределы Великобритании.Паразит может быть виден в красных кровяных тельцах под микроскопом, или вашему ветеринару может потребоваться отправить образцы крови в лабораторию для поиска паразита (испытание ПЦР).
Существует ли эффективное лечение?
Да. Лечение будет варьироваться в зависимости от вида бабезии.В случае с Babesia canis (самый распространенный вид в Европе) вашей собаке сделают две инъекции с интервалом в две недели. Вполне вероятно, что ему также потребуется дополнительное поддерживающее лечение, такое как внутривенное введение жидкостей и переливание крови. К сожалению, некоторые собаки с тяжелыми клиническими признаками могут умереть, несмотря на лечение.
Как я могу предотвратить заражение моей собаки?
Адекватная профилактика клещей — лучшая форма защиты.Следуйте советам вашего ветеринара по наиболее эффективному продукту для вашей собаки. Как правило, лучшими продуктами являются те, которые убивают клеща вскоре после прикрепления и/или обладают репеллентной активностью. Поскольку ни один продукт не эффективен на 100%, рекомендуется регулярно осматривать собаку на наличие клещей и удалять их, как только они прикрепляются.
Это особенно важно, если вы выгуливаете собаку в местах, где есть клещи, например, на улице. лесные массивы, участки с оленями или крупным рогатым скотом и т. д. Клещи наиболее активны в теплую и влажную погоду, но в защищенных местах они могут выживать круглый год.По этой причине борьбу с клещами следует проводить круглый год, а не только весной/летом.
Может ли моя кошка заразиться?
Нет, в Европе бабезиоз не является клинической проблемой у кошек.
Обзор
дои: 10.1016/ж.ветпар.2018.03.001. Epub 2018 7 марта.Принадлежности Расширять
ПО Box 12, Реховот 76100, Израиль. Электронный адрес: [email protected].Элемент в буфере обмена
Обзор
Гад Банет. Вет Паразитол. .
Бесплатная статья Показать детали Показать вариантыПоказать варианты
Формат АннотацияPubMedPMID
дои: 10.1016/ж.ветпар.2018.03.001. Epub 2018 7 марта.
Элемент в буфере обмена
Полнотекстовые ссылки Параметры отображения цитированияПоказать варианты
Формат АннотацияPubMedPMID
Бабезиоз собак — клещевое заболевание, вызываемое несколькими видами Babesia.
которые имеют разную чувствительность к антипротозойным препаратам. Несколько лекарств и комбинаций лекарств используются для лечения бабезиоза собак, часто без полной элиминации паразита, оставляя обработанных собак в качестве носителей, которые могут рецидивировать с клиническим заболеванием, а также передавать инфекцию дальше. Хотя крупные формы бабезий собак видов Babesia canis, Babesia vogeli и Babesia rossi чувствительны к ароматическим диамидинам имидокарба дипропионату и диминазена ацетурату, мелкие формы, такие как Babesia gibsoni, Babesia conradae и Babesia vulpes (Theileria annae), относительно устойчивы к этим препаратам. и лечатся комбинацией гидроксинафтохинона атовакона и антибиотика азитромицина.Азитромицин и другие антибиотики, обладающие антипротозойными свойствами, нацелены на апикопласт, реликтовый пластид, обнаруженный у простейших, и оказывают эффект отсроченной смерти. Тройная комбинация клиндамицина, диминазена ацетурата и имидокарба дипропионата также эффективна против B.
gibsoni и используется для лечения атоваквон-резистентных штаммов этого вида. Новые лекарства и синергетические эффекты комбинаций лекарств против инфекции бабезиоза должны быть дополнительно изучены, чтобы найти новые методы лечения бабезиоза собак.
Ключевые слова: апикопласт; атоваквон; азитромицин; бупарваквон; Диминазена ацетурат; Имидокарб дипропионат.
Copyright © 2018 Автор. Опубликовано Elsevier B.V. Все права защищены.
Солано-Гальего Л., Банет Г.
Солано-Гальего Л. и др.
Вет Паразитол. 2011 8 сентября; 181(1):48-60. doi: 10.
1016/j.vetpar.2011.04.023. Epub 2011 19 апр.
Вет Паразитол. 2011.
PMID: 21571435
Чека Р., Монтойя А., Ортега Н., Гонсалес-Фрага Х.Л., Бартоломе А., Гальвес Р., Марино В., Миро Г. Чека Р. и др. Векторы паразитов. 2017 13 марта; 10 (1): 145. doi: 10.1186/s13071-017-2049-0. Векторы паразитов. 2017. PMID: 28292316 Бесплатная статья ЧВК.
Флакон HJ, Горенфлот А.
Флакон HJ и др.
Вет Паразитол.2006 31 мая; 138 (1-2): 147-60. doi: 10.1016/j.vetpar.
2006.01.048. Epub 2006 28 февраля.
Вет Паразитол. 2006.
PMID: 16504402
Обзор.
Ван С., Ахлувалиа С.К., Ли И, Гао Д., Пудел А., Чоудхури Э., Будро М.К., Кальтенбок Б. Ван С и др.Вет Паразитол. 2010 26 февраля; 168 (1-2): 11-8. doi: 10.1016/j.vetpar.2009.10.015. Epub 2009 28 октября. Вет Паразитол. 2010. PMID: 19931290
Панти-Мэй Х.А., Родригес-Вивас Р.И.
Панти-Мэй Дж.А. и соавт.
Отчеты Vet Parasitol Reg Stud. 2020 июль;21:100417.doi: 10.1016/j.
vprsr.2020.100417. Эпаб 2020 25 мая.
Отчеты Vet Parasitol Reg Stud. 2020.
PMID: 32862915
Обзор.
Li Y, Rizk MA, Galon EM, Liu M, Li J, Ringo AE, Ji S, Zafar I, Tumwebaze MA, Benedicto B, Yokoyama N, Igarashi I, Chahan B, Xuan X. Ли Ю и др. Передняя ветеринарная наука. 2021 29 ноя;8:762107. doi: 10.3389/fvets.2021.762107. Электронная коллекция 2021. Передняя ветеринарная наука. 2021. PMID: 34

Ханмохаммади М., Золфагари-Эмамех Р., Аршади М., Размджоу Э., Карими П. Ханмохаммади М. и др. J Членистоногие Борн Дис. 2021 31 марта; 15 (1): 97-107. дои: 10.18502/jad.v15i1.6489. Электронная коллекция 2021 март. J Членистоногие Борн Дис. 2021. PMID: 34277859 Бесплатная статья ЧВК.
Лю М., Джи С., Кондо Д., Галон Э.М., Ли Дж., Томихари М., Янагава М., Тагава М., Адачи М., Асада М., Игараси И., Игучи А., Сюань Х.Лю М. и др. Противомикробные агенты Chemother. 2021 17 июня; 65 (7): e0020421. doi: 10.1128/AAC.00204-21. Epub 2021 17 июня. Противомикробные агенты Chemother. 2021. PMID: 33941516 Бесплатная статья ЧВК.

Хартли А.Н., Марр Х.С., Биркенхойер А.Дж. Хартли А.Н. и соавт.J Vet Intern Med. 2020 ноябрь;34(6):2432-2437. дои: 10.1111/jvim.15935. Epub 2020 4 ноября. J Vet Intern Med. 2020. PMID: 33146909 Бесплатная статья ЧВК.
Ван Х, Ван Дж, Лю Дж, Лю А, Хе Х, Сян Ц, Ли Ю, Инь Х, Ло Дж, Гуань Г.Ван Х и др. Векторы паразитов. 2020 29 июля; 13 (1): 378. doi: 10.1186/s13071-020-04250-8. Векторы паразитов. 2020. PMID: 32727571 Бесплатная статья ЧВК.
Укажите
КопироватьФормат: ААД АПА МДА НЛМ
Благодаря другу меня 2 года назад предупредили об опасности пиро и через 2 недели заболела моя собака и мы смогли обратиться за немедленным лечением — в прошлом году я поставил оп постинг предупреждение об опасности и в результате мы получили электронное письмо от двух человек, которые любезно сообщили нам, что эта информация спасла их собак.
..Поэтому, пожалуйста, будьте бдительны и помните, что лучшая профилактика – это осматривать собаку на наличие клещей несколько раз в день. Ниже приведена информация… Пироплазмоз – одно из заболеваний, иногда смертельных, чаще всего наблюдаемых у собак. Это заболевание, при котором разрушаются эритроциты, возникает из-за паразита крови, передающегося через укус клеща. Лечение эффективно при своевременном его назначении, но осложнения могут быть серьезными. Какие симптомы можно наблюдать? Собака угнетена, отказывается от пищи (особенно от воды), ее рвет, у нее сильный жар.Его моча приобретает ненормальную окраску. Симптомы не всегда легко обнаружить, и в случае сомнений рекомендуется проконсультироваться с ветеринарным врачом. Проверьте десны, так как они почти всегда становятся светло-розовыми. Ваш ветеринар также может сделать анализ крови, чтобы подтвердить ваши подозрения. Как передается пироплазмоз? Только клещи могут передавать это заболевание. Чтобы иметь возможность пить кровь собаки, клещ впрыскивает антикоагулянтную слюну, в которой содержатся паразиты пироплазмоза.
Попадая в кровь, они проникают в эритроциты, размножаются там и заставляют их лопаться.Собака, пораженная пироплазмозом, не заразна ни для других собак, ни для других животных, ни для человека. Чем лечить пироплазмоз? Лечение очень эффективно, если оно проводится достаточно быстро. Желательно хорошо следить за появлением симптомов. В зависимости от стадии развития заболевания ветеринарный врач составит программу лечения в виде инъекций, позволяющих уничтожить паразита, и настоев, предназначенных для регидратации животного и борьбы с печеночными и почечными осложнениями. .Животному также переливают кровь, чтобы компенсировать отсутствие красных глобул.
Фон
Бабезиоз собак – заболевание, вызываемое внутриэритроцитарной
простейшие паразиты Babesia canis и Babesia gibsoni .
Бабезиоз передается клещами восприимчивым собачьим хозяевам. Rhipicephalus sanguineus — самый распространенный клещ
вектор в США.
Собаки после спленэктомии, собаки с ослабленным иммунитетом и молодые собаки
в возрасте от двух до восьми месяцев наиболее восприимчивы
к инфекции. Бабезиоз собак встречается во всем мире. В пределах
Соединенные Штаты
это наиболее распространено на юго-востоке.Хотя собачий бабезиоз
считается редкостью в США,
это имеет клиническое значение из-за его заболеваемости и смертности.
Это важная разница, когда анамнез и клинические
признаки согласуются с инфекцией и другими более распространенными
заболевания исключены.
Патогенез и клинические признаки
Животные поражаются после укуса зараженного клеща и кормления
на восприимчивом хозяине в течение как минимум трех дней.
Когда
организм бабезии внедряется в организм хозяина, он прикрепляется
к мембранам эритроцитов и подвергается эндоцитозу. Гемолитическая анемия
и гипотензивный шок являются типичными клиническими синдромами инфекции.
Гемолитическая анемия возникает в результате прямого повреждения эритроцитов
паразита, а также внутрисосудистое и внесосудистое иммуноопосредованное
разрушение эритроцитов.Инфекция может вызвать тромбоцитопению,
механизм которого состоит в иммуноопосредованном разрушении
и секвестрация в селезенке. Физикальное обследование показывает
спленомегалия, лимфаденомегалия, лихорадка и реже,
вялость, рвота, гематурия и желтуха. Гипотензивный шок
возникает в результате высвобождения и производства вазоактивных аминов
и цитокины, вызывающие вазодилатацию.
Чаще всего это происходит
у щенков с подострой формой заболевания. Смерть может
происходят и чаще всего наблюдаются в
B. gibsoni инфекции и у щенков, пораженных B. canis и B. gibsoni. Хронические инфекции, субклинические Также могут возникать состояния носительства и атипичный бабезиоз собак.
Диагностика
Заражение B.canis или B. gibsoni поставлен окончательный диагноз
демонстрацией паразитов на эритроцитах. Мазки крови
можно окрашивать краской Diff-Quik или предпочтительно краской Райта.
или окраска по Гимзе. Окрашенные мазки демонстрируют 2,4 мм х 5,0 мм,
грушевидные, внутриэритроцитарные паразиты, которые обычно
парные ( B. canis ) или 1,0 мм x 3,2 мм плеоморфные, одиночные
к множественным внутриэритроцитарным организмам ( B.
Гибсони ).
Образцы крови, взятые из периферических капилляров
в кончике уха или ногтевом ложе, скорее всего, обнаружат
паразиты. Оперенный край и монослой мазка
следует тщательно обследовать на наличие паразитирующих эритроцитов.
Практикующие могут читать свои собственные мазки и / или отправлять их
в ближайшую ветеринарную диагностическую лабораторию.Организмы бабезий
может быть проблемой при хронических инфекциях или бессимптомных
животные-носители. Сдача крови на серологическое
тестирование является важным дополнительным диагностическим инструментом, помогающим установить
при заболевании, особенно когда титры значительно
повышенный. Серологическое тестирование доступно в ветеринарной больнице Луизианы.
Медицинская диагностическая лаборатория и в Университете Иллинойса
Лаборатории ветеринарной диагностической медицины.
Серологический
тесты, которые в настоящее время доступны, включают непрямой флуоресцентный
тест на антитела (IFA), который используется наиболее часто, и
совсем недавно был разработан точечный тест ELISA.
Лечение
Наиболее эффективные препараты, применяемые при лечении собачьих
бабезиоза включают диминазенаацетат, фенамидинизетионат,
и имидокарбдипропионат, которые не доступны или не одобрены
для использования в США.Лечение бабезиоза собак в США
поэтому в основном направлен на лечение симптомов. Большинство
случаев бабезии, диагностированных у собак в США.
вызываются менее вирулентными штаммами B. canis и собаки часто выздоравливают от этих инфекций естественным путем.
с поддерживающей терапией.
Клиндамицин успешно
используется для лечения бабезиоза собак и может рассматриваться как рефрактерный
или более тяжелые и вирулентные инфекции.
Профилактика
Профилактика бабезиоза собак в основном направлена на борьбу с вектор. Это важный аспект, так как лечение не всегда удачно. Окружающую среду следует лечить чтобы уменьшить количество клещей, собак следует лечить клещевые инвазии, и клещи должны быть удалены из паразитирующих животных сразу после обнаружения.
В последнее время вакцина, которая сводит к минимуму тяжесть инфекции
был развит. Сообщается, что вакцина эффективна от 70 до 100%.
в уменьшении патологических эффектов, которые обычно возникают
при заражении. В настоящее время вакцина доступна в Европе.
где собачий бабезиоз является более распространенным опасным для жизни заболеванием.
Переливание крови представляет значительный риск для животных-реципиентов, поэтому рекомендуется, чтобы животные-доноры были проверены на инфицирование бабезиозными микроорганизмами.Спленэктомия перед исследованием значительно повышает вероятность обнаружения организмов в образце крови инфицированного донора.
Заключение
Для практикующих врачей важно сохранять менее распространенные заболевания
таких как бабезиоз в списке дифференциальных диагнозов для
острая гемолитическая анемия, шок и желтуха.Это в равной степени
важно, чтобы врачи знали, как диагностировать заболевания
которые менее распространены, и что они должны быть усердными в своих усилиях
найти причину болезни, когда более общие возможности
были исключены.
Сегодня животные путешествуют чаще
чем когда-либо прежде, делая экзотические болезни более распространенными и более
возможно распространение на новые территории.Бабезиоз собак представляет собой серьезную
диагностическое соображение, которым практикующие врачи не должны пренебрегать
рассматривать.
— Кристен Рипбергер, выпуск 2000 г.
— под редакцией Армандо Иризари, DVM
Общие сведения о клещевых болезнях
Региональная распространенность клещевой болезни
Защитите свою собаку от болезней, переносимых клещами
Если у моей собаки положительный результат, требует ли это лечения?
Эрлихиоз
Пятнистая лихорадка Скалистых гор
Болезнь Лайма
Анаплазмоз
Бабезиоз
Гепатозооноз
Клещевое заболевание возникает, когда клещи, зараженные возбудителем, кусают собаку и передают возбудитель в организм собаки.
Многие из этих патогенов являются зоонозными, то есть они также могут заражать людей. Болезнь не распространяется между собаками и людьми напрямую, потому что эти патогены должны завершить фазу своего жизненного цикла внутри клеща, чтобы стать заразными. Следовательно, хотя люди и другие члены семьи, не являющиеся собаками, также могут заразиться, для передачи болезни требуется прямой укус клеща. Наиболее распространенными клещевыми заболеваниями являются эрлихиоз, анаплазмоз, пятнистая лихорадка Скалистых гор, гепатозооноз, бабезиоз и болезнь Лайма.Время кормления, необходимое для передачи болезни от клеща собаке или человеку, варьируется между клещами и возбудителями болезней. Бактерии, вызывающие эрлихиоз и пятнистую лихорадку Скалистых гор, могут передаваться в течение 3-6 часов после прикрепления клеща, в то время как для передачи бактерий, вызывающих болезнь Лайма, может потребоваться 24-48 часов кормления, прежде чем хозяин заразится.
Распространение клещевой болезни связано с видами клещей, эндемичными для данного региона.
Распределение видов клещей, распространенность клещей в пределах региона и распространенность переносимых ими инфекционных патогенов не являются стабильными и колеблются на сезонной основе в зависимости от погоды, количества осадков и климата. По этой причине мониторинг клещевых заболеваний является динамичным, непрерывным процессом.
На этой интерактивной карте показано количество зарегистрированных положительных случаев эрлихиоза, болезни Лайма, анаплазмоза и сердечного червя у собак. Карты доступны для всех регионов США и Канады.Поскольку так много собак не тестируются на клещевые заболевания, фактическое число собак, зараженных клещами, вероятно, во много раз превышает заявленные цифры.

По этой причине ваш ветеринар дважды провел тест, используя первоначальный «острый» образец, а через две недели — «выздоравливающий».В качестве альтернативы обсудите использование диагностического тестирования с помощью полимеразной цепной реакции (ПЦР) для выявления самих патогенов. Коричневые собачьи клещи живут и могут паразитировать внутри и вокруг домов и конур, где есть собаки, в том числе в более холодных регионах Северной Америки, таких как Канада и Аляска.
Клещи-одиночки, оленьи клещи и западные черноногие клещи чаще всего встречаются в подлеске или опавших листьях, связанных с естественными лесными массивами, часто посещаемыми дикими животными. Краевая среда обитания, часто встречающаяся вокруг дома или двора, обеспечивает достаточную среду обитания для этих клещей.
Американские собачьи клещи, лесные клещи Скалистых гор и клещи побережья Мексиканского залива чаще встречаются на высоких травянистых лугах; открытые леса, особенно вдоль троп; и открытые поля в сельскохозяйственных районах.
Колючие ушные клещи встречаются в засушливых районах к западу от Миссисипи, особенно на юге центральной и юго-западной части Соединенных Штатов.
Ветеринары способны эффективно лечить большинство клещевых инфекций; однако решение о том, лечить ли бессимптомную собаку, остается спорным. Доктор Адам Биркенхойер, DVM, PhD, DACVIM, специалист по внутренним болезням и инфекционным заболеваниям в Колледже ветеринарной медицины Университета штата Северная Каролина, рекомендует лечение после положительного теста с последующим полным подсчетом клеток крови, биохимией сыворотки и анализом мочи с интервалом в 6 месяцев.
на 1 год.По словам доктора Биркенхойера, «в настоящее время нет основанных на фактических данных рекомендаций о том, следует ли лечить вашего питомца, если он или она подверглись заражению инфекциями, передаваемыми клещами, такими как эрлихия или боррелия. Некоторые врачи могут рекомендовать лечение, в то время как другие могут нет. Самое главное — продолжать следить за своим питомцем на предмет признаков болезни с помощью осмотров и лабораторных анализов. Я рекомендую это делать ежегодно на протяжении всей остальной жизни питомца».
Эрлихиоз [произносится как er-lick-ee-o-sis] вызывается бактериями вида Ehrlichia (Ehrlichia canis, Ehrlichia ewingii, Ehrlichia chaffeensis).Ehrlichia canis передается коричневым собачьим клещом; Ehrlichia ewingii и Ehrlichia chaffeensis передаются звездчатым клещом-одиночкой. Самая высокая концентрация случаев Ehrlichia canis зарегистрирована в юго-западных регионах и на побережье Мексиканского залива в Соединенных Штатах. Распространение и число случаев Ehrlichia ewingii и Ehrlichia chaffeensis растут, и их можно обнаружить в штатах на севере, вплоть до Массачусетса, и на западе, в центральной Оклахоме и Канзасе.
Симптомы эрлихиоза
Виды Ehrlichia поражают лейкоциты и тромбоциты, вызывая симптомы, связанные с воспалением, и проблемы со свертываемостью крови.Общие симптомы могут включать любой из следующих:
Пятнистая лихорадка Скалистых гор (RMSF) вызывается бактериями Rickettsia rickettsia.RMSF передается клещом американской собаки и клещом-одиночкой. У собак пятнистая лихорадка Скалистых гор возникает внезапно с тяжелым течением болезни, длящимся около двух недель. Если вовремя не начать лечение, пятнистая лихорадка Скалистых гор может привести к смерти. Пятнистая лихорадка Скалистых гор также является зоонозным заболеванием, что означает, что она может заразить людей, а также домашних животных.
Хотя пятнистая лихорадка Скалистых гор наиболее распространена в штатах Скалистых гор, она также распространена на юго-востоке и может быть обнаружена на всей территории Соединенных Штатов и Канады.
Симптомы пятнистой лихорадки Скалистых гор собак
(Симптомы могут варьироваться от умеренных до тяжелых.)
Болезнь Лайма вызывается бактерией Borrelia burgdorferi. Болезнь Лайма передается оленьим клещом и западным черноногим клещом. Болезнь Лайма была обнаружена на всей территории Соединенных Штатов и Канады, но инфекции чаще всего диагностируются в северо-восточных, среднеатлантических и северо-центральных штатах, а также в Калифорнии.
Симптомы болезни Лайма
Более серьезные осложнения включают повреждение почек, и в редких случаях симптомы заболевания сердца или нервной системы могут возникать и исчезать и могут имитировать другие состояния здоровья.
Случаи варьируются от легких до тяжелых, причем тяжелые случаи иногда приводят к почечной недостаточности и смерти.
Анаплазмоз собак [произносится как ан-э-плаз-мох-сис] вызывается бактериями рода Anaplasma, в частности Anaplasma phagocytophilum и Anaplasma platys. Обе формы собачьего анаплазмоза встречаются на всей территории Соединенных Штатов и Канады. Районы, где анаплазмоз собак более распространен, включают северо-восточные, среднеатлантические и северо-центральные штаты, а также Калифорнию. Anaplasma platys, в частности, чаще встречается на побережье Мексиканского залива и в юго-западных штатах. Anaplasma phagocytophilum передается оленьим клещом и западным черноногим клещом.Это те же самые клещи, которые передают болезнь Лайма, что увеличивает риск коинфекции несколькими клещевыми заболеваниями. Anaplasma phagocytophilum также является зоонозным заболеванием, что означает, что он может заражать людей и домашних животных. Anaplasma platys передается коричневым собачьим клещом.
Симптомы Anaplasma phagocytophilum
Anaplasma phagocytophilum инфицируют лейкоциты, вызывая симптомы, связанные с воспалением. Симптомы часто расплывчаты и неспецифичны.
Симптомы Anaplasma platys
Anaplasma platys поражает тромбоциты, вызывая симптомы, связанные с нарушением свертывания крови:
Бабезиоз [произносится как ba-bee-zee-oh-sis] вызывается бактериями рода Babesia: Babesia gibsoni и Babesia vogeli.Организмы Babesia vogeli передаются коричневым собачьим клещом, но другие виды, такие как Babesia gibsoni, также могут передаваться от собаки к собаке, если зараженная собака кусает другую (драка и т. д.) или при переливании крови. Бабезиоз встречается на всей территории Соединенных Штатов и Канады.
Симптомы бабезиоза
Бабезиоз поражает эритроциты, и поскольку иммунная система собаки пытается уничтожить инфицированные клетки крови, это может привести к анемии, бледности и общей слабости.
Гепатозооноз собак вызывается заражением паразитами вида Hepatozoon: Hepatozoon americanum передается клещом побережья Мексиканского залива, а Hepatozoon canis передается коричневым собачьим клещом.Случаи собачьего гепатозооноза были зарегистрированы в восточных и средне-южных регионах США. В отличие от других трансмиссивных заболеваний, передающихся при укусе клеща, обе формы собачьего гепатозооноза передаются при проглатывании зараженного клеща собакой.
Симптомы Hepatozoon canis
Hepatozoon canis поражает лейкоциты, вызывая неясные неспецифические симптомы:
Симптомы Hepatozoon americanum
Hepatozoon americanum поражает мышечные клетки, вызывая изнурительные и потенциально смертельные состояния.
Собака, зараженная Hepatozoon americanum, обычно проявляет тяжелые симптомы, которые возникают периодически. Они могут включать любое из следующего:
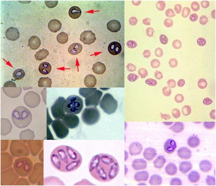
Мазок крови собак на Babesia spp. показаны эритроциты, содержащие мерозоиты.
В этом месяце мы завершаем нашу короткую серию статей об инфекциях, которые могут поразить наших питомцев во время отпуска.
Бабезиоз является переносимой клещами болезнью, вызываемой простейшими паразитами, принадлежащими к роду Babesia , которые поражают исключительно эритроциты. Сообщалось, что в Европе четыре вида пироплазм вызывают клиническое заболевание у собак, включая B. canis, B. vogeli, B. gibsoni и B. microti-подобный. Наиболее часто встречаются виды B.
canis, , связанный с передачей Dermacentor reticulatus и B. vogeli , связанный с передачей коричневым собачьим клещом, Rhipicephalus sanguineus .
Являются ли эти переносчики эндемиками в Великобритании? Известно, что в Соединенном Королевстве присутствует очагов клещей Dermacentor. Этот клещ является доказанным переносчиком Babesia canis , который еще несколько лет назад был экзотическим патогеном для Великобритании, известным как болезнь только у импортированных собак.Тем не менее, эндемичные случаи B. canis , недавно зарегистрированные в Южной Англии и Уэльсе у собак, которые никогда не путешествовали, послужили реальным сигналом тревоги для потенциального распространения этого патогена по всей стране (Phipps et al, 2016; de Marco et al, 2017).
Rhipicephalus sanguineus является еще одним переносчиком бабезиоза , хотя и менее распространен, но не является эндемичным в Великобритании.
Возможный риск интродукции R. sanguineus в Соединенное Королевство был недавно подтвержден у собаки, импортированной из Испании и еще одной из Греции.Этот клещ продемонстрировал высокий риск местной акклиматизации, что подтверждается случаями неожиданного заражения B. vogeli и E. canis в Великобритании у собак, которые не путешествовали, которые были известны с 2006 и 2013 гг. соответственно (Holm et al. и др., 2006; Уилсон и др., 2013).
Как протекает инфекция? Различные виды, подвиды и штаммы могут иметь различную патогенность и клиническое течение. Передача происходит, когда Babesia spp. спорозоитов высвобождаются инфицированными клещами во время кормления, попадают в кровоток собаки и впоследствии эндоцитируются красными кровяными тельцами. Инкубационный период бабезиоза колеблется от нескольких дней до нескольких недель. Внутриклеточное размножение микроорганизмов в эритроцитах приводит к внутрисосудистой гемолитической анемии.
Кроме того, растворимые антигены Babesia могут прикрепляться к поверхности неинфицированных эритроцитов и тромбоцитов, а также к инфицированным эритроцитам, что приводит к иммуноопосредованной гемолитической анемии (ИМГА) и тромбоцитопении (ИМТ/ИТП).
Каковы клинические признаки? Острые формы бабезиоза характеризуются умеренными или тяжелыми клиническими признаками, такими как лихорадка, вялость, анорексия, желтуха, рвота и в некоторых случаях гематурия. Атипичные формы могут быть связаны с геморрагиями и синдромом диссеминированного внутрисосудистого свертывания крови (ДВС-синдром) с выраженными двигательными, мозговыми, глазными, желудочно-кишечными и сосудистыми нарушениями из-за повышенной вязкости крови.
Хотя острое заболевание встречается чаще, некоторые животные могут быть хронически субклинически инфицированы с неспецифическими клиническими признаками, такими как умеренная депрессия, перемежающаяся лихорадка, анемия, миозит и артрит, а инфекция может быть реактивирована спленэктомией или введением иммунодепрессантов.
лекарства.
BattLab предлагает широкий спектр тестов для диагностики инфекционных заболеваний , включая серологию и ПЦР.
Какие частые лабораторные изменения наблюдаются? Часто наблюдаемые клинико-патологические отклонения включают выраженную регенеративную анемию вследствие гемолиза, тромбоцитопению, нейтрофилию со сдвигом влево или без него. Поскольку большая часть гемолиза в этих случаях является иммуноопосредованной, у собак с бабезиозом часто бывает положительный тест Кумбса и спорадическая гемоглобинурия.Биохимические изменения включают гипербилирубинемию, гиперглобулинемию и гипоальбуминемию. В некоторых случаях большое количество гемоглобина, отфильтрованного через почки, может привести к острой почечной недостаточности с азотемией. Гемоглобинурия, билирубинурия и зернистые цилиндры могут присутствовать в анализе мочи.
Можно ли диагностировать бабезиоз серологически? Специфические антитела могут быть обнаружены только через две недели после первого заражения, поэтому острые инфекции будут пропущены, если полагаться только на серологию для диагностики.
Кроме того, чувствительность и специфичность лабораторных тестов точно не установлены. Кроме того, на сегодняшний день отсутствуют экспресс-тесты в домашних условиях.
Как насчет исследования мазка крови? Достаточно ли этого для постановки диагноза? Свежеприготовленные мазки из несвернувшейся капиллярной крови, взятой из ушной раковины или кончика хвоста, могут выявить большее количество паразитов и могут быть использованы для постановки диагноза. Исследование мазка крови очень специфично и позволяет диагностировать у большинства больных собак Babesia canis , однако оно менее чувствительно, чем ПЦР.Это означает, что при использовании в качестве самостоятельного диагностического инструмента исследование мазка крови может привести к ложноотрицательным результатам, особенно если паразитарная нагрузка не повышена или если цитологическое исследование проводится персоналом, не привыкшим к гемипаразитам.
А как насчет ПЦР? Молекулярные тесты высокочувствительны и специфичны для диагностики Babesia sp.
, а также может обеспечить идентификацию видов и подвидов, что важно с точки зрения вариантов лечения и прогноза.ПЦР рекомендуется всем пациентам с подозрением на бабезиоз, но у которых микроорганизмы не видны при исследовании мазка крови. Молекулярное тестирование можно проводить на крови с ЭДТА или непосредственно на клещах, взятых у собаки, если таковые имеются.
Какие профилактические меры следует рекомендовать владельцам домашних животных? Риск заражения Babesia spp. для отдельных собак, живущих в эндемичных районах, или для собак, путешествующих в такие районы или через такие районы, можно значительно снизить за счет эффективной борьбы с клещами.Владельцы домашних животных должны знать, что профилактические меры важны не только для защиты их собственных питомцев, но и для здоровья и благополучия домашних животных, живущих в тех же районах.
Ретроспективный и проспективный анализ историй болезни собак с диагнозом инфекции Babesia был проведен за период с 2000 по 2013 год в практике Лусаки, Замбия.
Записи о 363 собаках с подтвержденными инфекциями Babesia были проанализированы с использованием демографических факторов, включая пол, породу, возраст и клинические признаки в отношении гематологических данных и видов Babesia .Описаны наблюдаемые клинические и лабораторные данные, а также идентифицированы видов бабезий . В исследование было включено 18 пород, и наибольшую долю составили дворняги (32,2%), самцы, составляющие 64,5% популяции. Наиболее распространенными проблемами были анорексия (65,3%) и вялость/слабость (65,3%). Наиболее частыми клиническими признаками были лихорадка (87,3%), бледность (52,3%), лимфаденопатия (47,4%) и наличие клещей (44,9%). Наиболее частыми лабораторными находками были анемия (96,4%) и ядросодержащие эритроциты (42,2%).Смешанная инфекция Babesia rossi и Babesia gibsoni присутствовала у 59,7% собак, в то время как 8% и 32,2% имели B. rossi и B. gibsoni в виде единичной инфекции, соответственно.
Ведение больных в основном включало терапию тетрациклинами и имидокарбами и обычно сопровождалось клиническим улучшением. Это исследование впервые подчеркивает присутствие B. gibsoni в естественных популяциях собак в Замбии, где ранее только B.Сообщается, что росси .
Бабезиоз — клещевое заболевание, вызываемое простейшими рода Babesia , распространенное во всем мире [1, 2]. Бабезиоз собак является важным заболеванием домашних и диких Canidae [3]. Babesia являются внутриэритроцитарными трансмиссивными организмами с многочисленными собачьими Babesia видами, зарегистрированными в мире, а именно, Babesia canis , Babesia rossi , Babesia vogeli , Babesia gibsoni
, , Babesia vulpes sp. nov и Babesia conradae [4–6]. В Африке зарегистрированы Babesia canis , B. rossi , B. vogeli и B. gibsoni , без сообщений о микробабезиях [4, 7].
Babesia rossi зарегистрирован только в Африке [7]. Также существует один пока безымянный вид из бабезий , зарегистрированный в Северной Америке [4, 7].
Наиболее распространенными клиническими признаками, связанными с бабезиозом, являются анорексия, лихорадка, депрессия/летаргия, бледность слизистых оболочек, спленомегалия и потеря веса [8–11].Клиническая картина бабезиоза собак различается в зависимости от географического региона и вовлечения видов бабезий [4, 5, 12, 13]. Также сообщалось о необычных клинических проявлениях бабезиоза собак, которые включают признаки, связанные с центральной нервной системой, такие как судороги [14, 15]. В Африке имеется ограниченное количество опубликованных данных о бабезиозе собак, а за пределами Южной Африки и Нигерии опубликованных данных еще меньше [16]. Существует множество факторов, влияющих на распространенность бабезиоза собак, и исследования с 90–195 B.canis показали, что более предрасположены чистопородные собаки, животные в возрасте до одного года и собаки, ранее болевшие бабезиозом или не подвергавшиеся профилактическому лечению от эктопаразитов [17].
Коинфицирование Babesia другими трансмиссивными заболеваниями собак происходит [16] и часто приводит к атипичным клиническим признакам и проявлениям [18, 19].
Клинико-патологическая картина в случаях бабезий включает регенеративную анемию, тромбоцитопению и лейкопению (нейтропению и лимфопению) вначале после заражения, за которыми вскоре следует лейкоцитоз и нейтрофилез со сдвигом влево через несколько дней после заражения [20].Хронические случаи бабезиоза собак, как правило, имеют более неясный спектр клинических признаков. Прогностические факторы инфекции Babesia у собак включают концентрацию лактата в крови и PCV [21]. Предполагается, что Babesia rossi имеет полиморфный фосфопротеин, названный Babesia rossi геном эритроцитарного мембранного антигена 1 ( BrEMA1 ), который может быть ответственным за вирулентность [16]. Это может объяснить некоторые различия в клинических проявлениях у собак, инфицированных этим видом.
Существует ряд вариантов лечения бабезиоза собак.
Эффективны имидокарб дипропионат, диминазена ацетурат, клиндамицин [7, 22] и доксициклин [23]. Переливание крови улучшает клинический исход терапии [24]. Однако в случаях заражения мелкими видами бабезий клиническое и паразитологическое излечение часто не достигается и часто отмечаются рецидивы [7]. Обычно назначается поддерживающее лечение, которое включает инфузионную терапию, противовоспалительные и жаропонижающие средства [20], гастропротекторы, оксигенотерапию и переливание крови [22].При экспериментальной инфекции Babesia клиническое выздоровление было показано только при поддерживающем лечении [20], что подчеркивает важность этого аспекта ведения случая.
Борьба включает использование акарицидов местного применения [25] для уничтожения клещей-переносчиков, а также может включать новые методы, такие как ошейники, пропитанные акарицидами [26]. Возможно также профилактическое применение имидокарба при перемещении животных в эндемичные районы [10]. Разработана вакцина против бабезиоза [27], которая индуцирует частичную защиту от заболевания за счет уменьшения выраженности клинических признаков, паразитемии или продолжительности клинического заболевания [7].
Однако, как и в случае с вакцинацией, большинство современных профилактических мер считаются недостаточными для полной защиты [5].
В Замбии было проведено пилотное исследование для определения эпидемиологии собачьих инфекций Babesia в лабораторных образцах и естественных популяциях; исследование показало, что собачий Babesia относится к крупному типу и имеет среднемесячную распространенность до 28,6% и 2,4% соответственно с двумя сезонными пиками в сезон дождей и прохладный сухой сезон [28].Недавнее молекулярное исследование диких и домашних собак в заповедниках дикой природы в Замбии выявило видов бабезий у диких плотоядных, но не бабезий у домашних собак [29]. Несмотря на то, что знание клинико-патологических проявлений такого заболевания, как бабезиоз, имеет эпидемиологическое и медицинское значение [7], нет опубликованной литературы о клинико-патологических проявлениях Babesia у собак в Центральной Африке. Цель этого последующего исследования состояла в том, чтобы задокументировать клинические признаки, гематологические профили, молекулярное видообразование и варианты ведения случаев природного бабезиоза собак в Замбии.
Проведено смешанное, ретроспективное и проспективное исследование клинических случаев бабезиоза. Случаи были удобно отобраны, и критериями включения были собаки с полными, хорошо задокументированными медицинскими картами, те, которые дали положительный результат на Babesia при исследовании мазка крови и имели полный гематологический профиль. В этом исследовании были рассмотрены клинические записи из ветеринарной клиники, Школы ветеринарной медицины Университета Замбии и двух частных ветеринарных клиник в Лусаке для собак, которые соответствовали критериям включения.Собаки, у которых были другие диагностированные сопутствующие заболевания или не полностью задокументированные медицинские записи, были исключены из исследования.
Были проанализированы медицинские записи собак с диагнозом Babesia с 2000 по 2009 год. Информация о сигнале, существующей проблеме, клинических признаках, гематологических данных, ведении случая/схемах лечения и исходах случая была задокументирована.
Данные из истории болезни были введены в форму сбора данных.
Проспективное исследование проводилось с марта 2009 г. по декабрь 2013 г. Ветеринарные врачи заполняли формы сбора данных для всех случаев, в которых имелись клинические подозрения на трансмиссивную болезнь собак, обычно диагностируемую как «клещевая лихорадка».
Кровь, собранная при венепункции головного мозга, была подвергнута лабораторному анализу, как описано ранее [28], и собаки были классифицированы как анемичные на основании модификации критериев классификации Reyers et al.(1998), цитируемых Якобсоном [14] в сочетании с данными Тведтена и Вайса [30]. Собак с ПКВ менее 15% считали тяжело анемичными, собак с ПКВ 15-30 — умеренной анемией, собак с ПКВ >30-37 — легкой анемией, а собак с ПКВ >37% — неанемичными.
В исследование были включены пациенты с положительным результатом исследования мазка крови и выполненным полным гематологическим исследованием.
Клещей также собирали у каждой собаки, помещали в простую пробирку для сыворотки объемом 10 мл с 70% этанолом и идентифицировали до уровня рода с помощью ключа Soulsby [31].
Шестьдесят два Babesia -положительные случаи из проспективного исследования были отмечены кровью на картах Whatman FTA для последующего выделения ДНК и идентификации видов Babesia с помощью полугнездовой ПЦР с использованием метода и праймеров, использованных Birkenheuer et др. [32].
ДНК экстрагировали методом лизиса сапонинов и хранили при -20°C до использования. Полугнездовую ПЦР проводили, как описано Birkenheuer et al.[32]. Первичная ПЦР амплифицировала фрагмент длиной примерно 340 пар оснований (bp) из B. gibsoni (азиатский генотип) и B. rossi . Вторичная ПЦР с использованием специфических внутренних праймеров для B. gibsoni (азиатский генотип) (BgibAsia-F) и B. rossi (BCR-F) была соединена с внешним обратным праймером первичной ПЦР для амплификации 185 п.
н. 197 п.н. ампликонов соответственно. Продукты ПЦР визуализировали в трансиллюминаторе после электрофореза в 1,5% агарозном геле, содержащем 0.2 мкм г Мидори Грин.
Данные были введены в электронную таблицу Microsoft Excel, проверены на правильность и импортированы в Minitab версии 14 для статистического анализа и построения графиков. Статистически значимые различия были определены как различия с . Непрерывные данные анализировали с использованием однофакторного дисперсионного анализа (ANOVA). Для попарных сравнений использовали тест множественного сравнения Тьюки post hoc . Для определения корреляции использовался корреляционный тест Пирсона.Тест хи-квадрат использовался для определения различий в пропорциях.
Из 412 медицинских карт случаев, диагностированных как положительные на Babesia при исследовании мазка крови, 363 были включены в исследование, удовлетворяющие критериям включения.
Остальные были исключены из исследования в основном потому, что у них либо не было полного гематологического профиля, и диагноз был поставлен только с использованием мазка крови, либо они не полностью заполнили медицинские записи или формы сбора данных.
Были проанализированы записи 363 пациентов, и наиболее представленными породами собак были дворняги (32,2%) и мальтийские пудели (16,3%), в то время как шарпей и бостон-терьер были наименее представлены (таблица 1). . Были включены семнадцать различных экзотических чистых пород и два других класса (чистопородные помеси и местные породы/дворняги). Таким образом, экзотические собаки и их помеси вместе взятые составили наибольшую долю собак с диагнозом Babesia (табл. 1).Собаки-самцы составляли большинство (64,5%) участников исследования (рис. 1). Точный возраст был определен у 89% (323/363) собак с помощью карты учета прививок и колебался от двух месяцев до восьми лет (медиана возраста 18 месяцев).
Как показано на рисунке 1, собаки в возрасте от двух до пяти лет составляют наибольшую долю (29,47%), за ними следуют собаки в возрасте от шести месяцев до одного года (22,11%). Собаки старше 5 лет были самой маленькой группой, включая одного кобеля старше 10 лет. Собаки, точный возраст которых не мог быть определен, были классифицированы только как взрослые собаки.
| ||||||||||||||||||||||||||||||||||||||||||||||||||
Собаки-метисы — это собаки, классифицируемые как таковые, потому что они имеют одну известную отдельную экзотическую породу, но были скрещены с собакой другой породы. GSD: немецкая овчарка. | ||||||||||||||||||||||||||||||||||||||||||||||||||
Различные клинические признаки и проблемы представлены на рисунке 2. Основными проблемами, о которых сообщали владельцы, были анорексия (65,3%), депрессия/летаргия (65,3%) и потеря веса (20,4%). Наиболее частыми клиническими признаками были лихорадка (87,3%), бледность (52,3%) и лимфаденопатия (47,4%). Средняя ректальная температура составила 39,6°С (±SD, диапазон; ±0,995, 34,7–41,7).Исследование также показало, что у 4,7% собак была субнормальная температура (темп. < 37°C). Не было существенной разницы в ректальной температуре между собаками местной породы и экзотическими собаками (ANOVA: ; ; экзотическая средняя температура ± SD = , средняя температура дворняги ± SD = ). Сорок пять процентов собак были заражены клещами в основном из рода Rhipicephalus . Другие наблюдаемые клинические признаки/проблемы включали рвоту, спленомегалию, обезвоживание, желтуху и асцит.
Два случая представлены тяжелым носовым кровотечением.Только в одном случае были выявлены судороги с полиурией/полидипсией. Отмечалась слабая положительная достоверная корреляция между ЦВС и ректальной температурой тела (, ).
Микроскопическое исследование подтвердило, что все собаки были инфицированы видами бабезий видов. Реакция ПЦР позволила дифференцировать B. gibsoni (азиатский генотип) как единичную инфекцию у 32,2% (20/62) и B.rossi в виде одиночной инфекции в 8% (5/62) образцов. Большинство (37/62; 59,7%) других образцов имели смешанную инфекцию.
В таблице 2 представлены гематологические данные в образцах крови. Наиболее стойкими гематологическими отклонениями были анемия (96,4%), ядросодержащие эритроциты (42,2%) и гипохромия (34,7%). Анемия была гипорегенеративной, нормоцитарной и нормохромной в 65,3% случаев (табл.
3). Общее среднее значение PCV составило 18,4% (±SD, диапазон; ±9.2, 5,0–49,0), а общее среднее значение гемоглобина составило 6,4 г/л (± стандартное отклонение, диапазон; ±3,04, 1–14,1). Тяжелая анемия наблюдалась у 55,1 % собак, в то время как у 33 % наблюдалась умеренная анемия, у 8,0 % — легкая анемия, а у 3,6 % не было анемии (рис. 3). Также не было различий в доле собак с тяжелой анемией по возрастным классам (рис. 3). Однако только в возрастных группах от трех месяцев до двух лет было бабезиозных -положительных собак без признаков анемии, в то время как в других возрастных группах все они были анемичными (рис. 3).Собаки с однократной инфекцией B. rossi имели более низкие уровни PCV и Hb, за ними следовали собаки с однократной инфекцией B. gibsoni. Собаки с одновременной инфекцией как B. gibsoni , так и B. rossi имели более высокие PCV и Hbs, чем собаки с одиночной инфекцией любого из них, но различия не были значительными (ANOVA: ; ; B.
rossi среднее значение PCV ± SD; B. gibsoni среднее значение PCV ± SD; смешанная инфекция PCV ± SD) (рис. 4). Тромбоцитопения наблюдалась у 17.1% случаев. Не было статистических различий в PCV между дворнягами и экзотическими породами и их помесями (ANOVA: ; ; экзотическое среднее значение PCV ± SD, среднее значение PCV для беспородных животных ± SD).
| ||||||||||||||||||||||||||||||||||||||||||||||||||||||||||||||||||||||||||||||||||||||||||||||||||||||||||||||||||||||||||||||||||||||||||||||||||||||||||||||||||||||||||||||||||||||||||||||||||||
NRBC: ядрайный якол РБК: эритроцит. | ||||||||||||||||||||||||||||||||||||||||||||||||||||||||||||||||||||||||||||||||||||||||||||||||||||||||||||||||||||||||||||||||||||||||||||||||||||||||||||||||||||||||||||||||||||||||||||||||||||
Пациентов часто лечили инъекционными и пероральными препаратами, указанными в таблице 4. Имидокарб дипропионат вместе с доксициклином был наиболее часто используемым специфическим инъекционным препаратом против протозойных препаратов (51.0%), затем только доксициклин (24,0%) и только имидокарб дипропионат (5,5%), и только 0,8% (3/363) случаев лечили диминазеном в качестве антибабезиального препарата (таблица 4). Приблизительно 60% (219/363) лечились 10-21-дневным курсом доксициклина перорально в дозе 10 мг/кг массы тела два раза в день.
| |||||||||||||||||||||||||||||||||||||||||||||||||||||||||||||||||||||||||||||||||||||||||||
| НПВП: нестероидные противовоспалительные препараты. | |||||||||||||||||||||||||||||||||||||||||||||||||||||||||||||||||||||||||||||||||||||||||||
Некоторым собакам проводилась дополнительная иммуносупрессивная терапия (всего 37,4% получали инъекции дексаметазона, 5,1% (20/363) инъекционный дексаметазон и пероральный преднизолон и 1,4% (5/363) получали только пероральный преднизолон). Другие методы лечения включали использование гастропротекторов (0,8% омепразол, 2,2% сукральфат). Переливание крови было выполнено в 1.9% (7/363) случаев, причем шесть из семи случаев были госпитализированы. Приблизительно 27% (97/363) собак получали местное лечение от эктопаразитов, которое включало погружение (11,6%), точечное лечение (8,5%) и спреи (6,6%).
Из собак с диагнозом Babesia 41,9% (152/363) были госпитализированы, остальные лечились амбулаторно. Госпитализация длилась в среднем несколько дней и варьировала от в основном ночного наблюдения до максимум 21 дня. Не было существенной разницы в доле анемии и PCV у собак, которые были госпитализированы, и тех, которые не были госпитализированы (ANOVA: госпитализированное среднее PCV ± SD = , амбулаторное среднее PCV ± SD = ).Госпитализированным собакам чаще делали переливание крови, чем амбулаторным (, , и ), учитывая предостережение о том, что в амбулаторной группе был только один случай переливания крови, что меньше минимум пяти, обычно рекомендуемых для Хи- квадратный тест.
В настоящем исследовании описываются клинические признаки и ведение случаев природного бабезиоза в Замбии. Исследование представляет собой первое систематическое исследование клинико-патологических проявлений бабезиоза собак в этом регионе, а также первое сообщение о видах Babesia , обнаруженных у домашних собак в Замбии, в сопоставлении с клинико-патологическими данными.
В исследовании представлена новая информация о клинико-патологических проявлениях бабезиоза собак и вовлеченных в него видов бабезий , а именно B. gibsoni и B. rossi . Хотя отсутствие положительных случаев у домашних собак в недавнем молекулярном исследовании в Замбии [29] можно объяснить региональными различиями между центральной частью Замбии и восточными и западными регионами, где проводилось недавнее исследование [29]. Вышеупомянутое исследование также имело размер выборки всего из восьми домашних собак, что может повлиять на результаты, принимая во внимание низкую распространенность Babesia в естественных популяциях домашних собак в Замбии (2).4% [28]. Аналогичная низкая распространенность собачьего Babesia , составляющая 3,8%, была также зарегистрирована в Кабо-Верде [34]. Более широкое исследование с использованием большего количества собак со всей страны было бы более желательным, чтобы всесторонне задокументировать клинико-патологические проявления этого заболевания и определить, существуют ли региональные различия в распространенности Babesia [17], которые могут быть приписаны различиям.
у бабезий видов паразитов или переносчиков, как было показано другими исследователями [35].
Наиболее распространенными клиническими проблемами у собак с Babesia в этом исследовании были лихорадка, депрессия, бледность, лимфаденопатия и наличие клещей. Лихорадка была постоянной находкой у собак с инфекциями Babesia в этом исследовании, при этом 87,3% имели лихорадку и 47,4% проявляли лимфаденопатию. У большого количества собак в этом исследовании была лихорадка выше 40 ° C, что аналогично лихорадке 40,4 ° C, описанной Casapulla et al. [36] у собаки, инфицированной B. gibsoni .В отличие от результатов Adaszek et al. [37], Салем и Фараг [38], Давитков и др. [11], которые обнаружили изменение цвета мочи и гемоглобинурию, соответственно, как важные клинические признаки, а единственный необычный случай Demeter et al. [39], у которых была гемоглобинурия, в этом исследовании не было случаев гемоглобинурии. Однако это может быть связано с тем, что этот клинический признак обычно не наблюдается из-за того, что моча не выделяется и не собирается при каждом клиническом обследовании.
Кроме того, большинство владельцев могут быть не очень наблюдательны или могут не видеть, как собака выделяет обесцвеченную мочу, и поэтому результаты могут быть занижены. Микроскопическая гемоглобинурия могла также присутствовать при отсутствии макроскопической гемоглобинурии.
Большинство собак были заражены клещами рода Rhipicephalus , и не было статистических различий в заражении между самцами и самками. Более высокая распространенность рода Rhipicephalus аналогична выводам Abd Rani et al.[3] в Индии с тропическим климатом, как в Замбии. Несмотря на этот факт, у ряда животных была обнаружена бабезий без каких-либо эктопаразитов и в анамнезе последовательной борьбы с клещами. Это может быть связано с измененным анамнезом, предложенным владельцами, из-за возможного чувства вины в сочетании с возможной недавней демаркацией владельцами перед представлением ветеринарной практике, когда животные, казалось, заболели. Тем не менее, Cardoso et al. сообщил об аналогичном открытии примерно половины животных, у которых была диагностирована инфекция Babesia , зараженных клещами.
[40] в Португалии.
Аналогичным образом, в проспективном исследовании у ряда животных, у которых клинические врачи подозревали бабезиоз, результаты микроскопического исследования на Babesia были отрицательными. Это может быть связано с рядом причин: присущей микроскопии мазка крови низкой чувствительностью по сравнению с молекулярно-биологическими тестами, такими как ПЦР; Паразитемия также является преходящей у инфицированных животных, особенно на ранних стадиях инфекции, и низкой и не поддающейся обнаружению в хронических случаях [5].Однако, поскольку исследование было разработано для описания клинико-патологических результатов у собак, положительных на бабезию , единственным недостатком было уменьшение размера выборки из-за возможных ложноотрицательных результатов, возникающих по вышеупомянутым причинам. Использование ПЦР, вероятно, привело бы к увеличению размера выборки.
Анемия, ядросодержащие эритроциты и тромбоцитопения были продемонстрированы как последовательные лабораторные данные при бабезиозе собак многочисленными исследователями [37, 38, 41], и это исследование также показало, что анемия согласуется у собак с Babesia , но тромбоцитопения наблюдалась только у собак.
менее одной пятой собак.
В целом клинико-патологические данные этого исследования сопоставимы с результатами многих исследователей, таких как Ruiz de Gopegui et al. [13], за исключением гемоглобинурии, которая не наблюдалась в качестве заметного клинического признака в этом исследовании.
Это исследование, по-видимому, указывает на то, что единичные инфекции B. rossi или B. gibsoni дают более тяжелые гематологические результаты, чем смешанные инфекции. Авторы не могли приписать этому парадоксальному открытию никаких особых причин.Другие исследователи также описали коинфекции видов Babesia , но также заявляют, что трудно приписать клинические признаки одному конкретному агенту [41]. Подобно Салему и Фарагу [38], в этом исследовании было отловлено больше самцов, чем самок. Адашек и др. [17] обнаружили, что самцы собак более склонны к заражению инфекцией Babesia .
Различия между собаками местных пород и экзотами были продемонстрированы там, где экзоты были более склонны [17].
Это исследование, однако, не показало каких-либо различий в клинико-патологических данных между двумя группами.Подобно Адашеку и др. [17], это исследование также показало, что собаки моложе одного года более склонны к заражению Babesia .
Наше исследование показывает, что у большего числа животных имеется коинфекция как B. gibsoni , так и B. rossi , и лишь у немногих имеется однократная инфекция обоими видами. Это контрастирует с данными о коинфекции B. canis и B. vogeli , сделанными Manzillo et al. [41] в Италии и Kamani et al. [42] с Б.canis и B. rossi в Нигерии. Однако доля коинфекций в этом текущем исследовании выше, чем сообщается Adamu et al. в Нигерии [16]. Доля собак с B. gibsoni в виде одиночной инфекции была выше, чем среди собак с B. rossi в виде одиночной инфекции. Из-за того, что у большинства животных были коинфекции, было трудно отнести клинические признаки и гематологические нарушения к одному виду бабезий из [41].
Другие исследователи в Африке [38, 42, 43] и Кабо-Верде [34] не обнаружили B.gibsoni , а в Южной Африке он зарегистрирован только у импортированной собаки [44].
Бабезиоз может быть классифицирован как осложненный или неосложненный, при этом осложненный бабезиоз проявляется как острое, серьезное, угрожающее жизни заболевание [4]. Таким образом, результаты этого исследования демонстрируют, что бабезиоз собак в Замбии менее вирулентный/острый и, возможно, классифицируется как неосложненный, чем описанный в Южной Африке [14]. Однако расширение торговли собаками из Южной Африки увеличивает возможный риск завоза более вирулентных штаммов Babesia в Замбию, поскольку было показано, что путешествующие собаки заносят патогенов Babesia в Германию [45] и Южную Африку [44]. . B. vogeli , зарегистрированный в Южной Африке [44], Египте [38] и Кабо-Верде [13], не был зарегистрирован в Замбии. Ограничивающим фактором в этом исследовании был тот факт, что праймеры, использованные в этом исследовании, не были специфичными для B.
vogeli . Кроме того, в южноафриканском исследовании [46] не сообщалось о смешанной инфекции между B. rossi и B. vogeli , но наше исследование продемонстрировало высокую долю собак со смешанной инфекцией B. rossi и B.Гибсони .
Модели употребления наркотиков также демонстрируют изменяющиеся тенденции с диминазеном, который использовался в начале десятилетия редко, при этом в большинстве практик использовался исключительно имидокарб дипропионат в качестве антибабезиального препарата выбора. Никакие другие препараты против Babesia , такие как клиндамицин и хинин, атоваквон-азитромицин, о которых сообщалось в литературе [22], не использовались в случаях в исследовании.
В заключение, это исследование освещает виды собачьих Babesia , присутствующих в Замбии, а также клинико-патологические данные при бабезиозе собак.В нем также подчеркиваются различия между проявлениями бабезиоза собак в Замбии и других странах субрегиона.